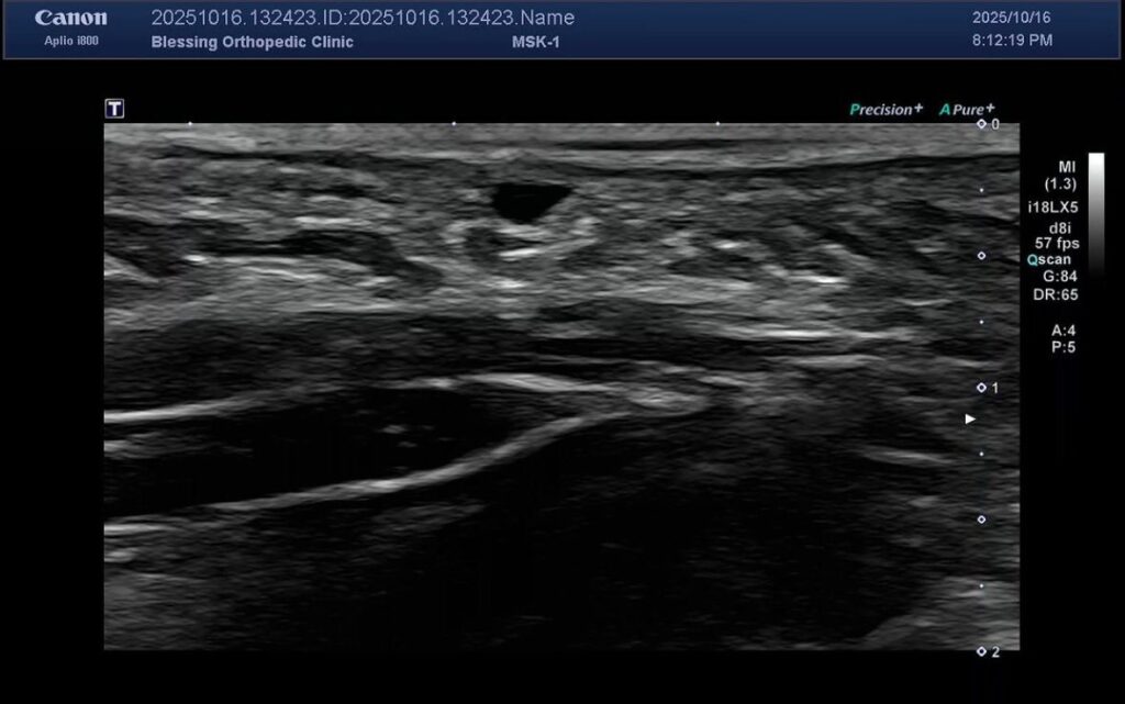
長期勞動者主訴手掌有個點壓了就會有被電擊的麻感,超音波看到腱鞘囊腫(Ganglion cyst)正好在指神經(Digital nerve)上,一壓迫就會刺激到神經,長期勞動更有可能讓關節囊出現小受損導致關節液洩漏,如果受損的孔洞成為單向閥門,讓關節液只出不回,就可能產生腱鞘囊腫,當腱鞘囊腫引起不適或壓迫到神經時,可以考慮以下幾種處理方式:輕微的可以先觀察、改變活動習慣或穿戴護具。
若症狀持續,可以考慮用針將囊腫內的關節液抽出,有時會合併注射少量類固醇以減少復發。對於反覆發作或症狀嚴重的案例,也可以考慮用手術方式將囊腫連同其根部來源的關節囊一併切除。不過,具體適合哪種方式,仍需由醫師專業評估紅圈處低回音(黑色)結構是「腱鞘囊腫」,在他下面的蜂巢狀結構是「指神經(Digital nerve)」


延伸閱讀:
